patmosweb330

elin330

aegeanlab

Ασβεστοποιός Τενοντίτιδα Ώμου: Τι είναι και πως αντιμετωπίζεται;

 

MALAXIAS OMOS

 

Του Ορθοπαιδικού Χειρουργού & Επίκουρου Καθηγητή Ορθοπαιδικής της Ιατρικής Σχολής EUC Φρανκφούρτης, κου Μιχαήλ-Αλέξανδρου Μαλαχιά*

*Ο Επίκ. Καθηγητής, Δρ. Μαλαχιάς θα ταξιδέψει στην Πάτμο για να εξετάσει ορθοπαιδικούς ασθενείς (κατόπιν ραντεβού, τηλ.: 6936503290 / Χοχλακάς Πάτμου), το Σάββατο 30 Νοεμβρίου και την Κυριακή 1 Δεκεμβρίου.

 MALAXIAS MIXAHL

 

Τι είναι η ασβεστοποιός τενοντίτιδα του ώμου;
Η ασβεστοποιός τενοντίτιδα ώμου είναι μια αυτοπεριοριζόμενη νόσος που χαρακτηρίζεται από εναπόθεση κρυστάλλων (αλάτων) φωσφορικού ασβεστίου στους τένοντες του ώμου. Από μόνη της η εναπόθεση κρυστάλλων (ασβέστωση) μπορεί να μην προκαλεί κάποιο σύμπτωμα για χρόνια ή και ποτέ.

 

Επομένως η τυχαία εύρεση ασβέστωσης (|φανταστείτε το σα ένα βραχάκι μέσα στο μαλακά μόρια) στον ώμο σε μια ακτινογραφία, χωρίς συμπτώματα από τον ώμο δεν θέτει τη διάγνωση της ασβεστοποιού τενοντίτιδας. Αντίθετα, σε ορισμένες περιπτώσεις, οι τένοντες που βρίσκονται γύρω από την ασβέστωση μπορεί να αρχίσουν, κάποια στιγμή, να φλεγμαίνουν προκαλώντας ισχυρό πόνο που ξυπνά τη νύχτα τον/την ασθενή. Όταν συμβεί αυτό, τότε μιλάμε για ασβεστοποιό τενοντίτιδα του ώμου.


Η φλεγμονή αυτή μπορεί να αφορά και το «μαξιλαράκι» που καλύπτει, θρέφει και προστατεύει τους τένοντες αυτούς, που αποκαλείται θύλακος. Στην περίπτωση φλεγμονής του θυλάκου, η πάθηση λέγεται υπακρωμιακή θυλακίτιδα και μπορεί να συνδυάζεται με τενοντίτιδα του ώμου (ασβεστοποιό ή μη) ή να υφίσταται αυτόνομα.

 

Που οφείλεται η ασβεστοποιός τενοντίτιδα του ώμου;
Υπερχρήση του ώμου ή επαναλαμβανόμενη άρση βάρους είναι μεταξύ των συχνότερων αιτιών πρόκλησης ασβεστοποιού τενοντίτιδας του τενόντιου στροφικού πετάλου. Αυτό συνήθως συμβαίνει σε ανθρώπους που χρησιμοποιούν πολύ το χέρι τους πάνω από το ύψος του ώμου, όπως ζωγράφοι, μάστοροι, ξυλουργοί και αθλητές.


Αν και η αιτιολογία της ασβεστοποιού τενοντίτιδας δεν είναι πλήρως κατανοητή και υπάρχουν διάφορες θεωρίες για την παθογένεσή της (όπως π.χ. έχει προταθεί η χαμηλή ποσότητα οξυγόνου στους τένοντες του ώμου ως αιτία γένεσης της υπό συζήτηση νόσου), από πολλούς θεωρείται ότι οι επαναλαμβανόμενες κινήσεις πάνω από το ύψος του ώμου φθείρουν τους τένοντες του στροφικού πετάλου και, ίδιως, τον υπερακάνθιο τένοντα. Σε ορισμένες περιπτώσεις, η φθορά αυτή οδηγεί σε μικρορρήξεις (μικρά σκισίματα) στο τενόντιο «ύφασμα» που δεν είναι ορατές. Στα σκισιματάκια αυτά του τενόντιου «υφάσματος» πιστεύεται πως εναποτίθονται κρύσταλλοι οι οποίοι συνενώνονται μεταξύ τους, με τα χρόνια, για να δημιουργήσουν, εν τέλει, την ασβέστωση που είναι υπεύθυνη για την ανάπτυξη ασβεστοποιού τενοντίτιδας. Μπορείτε να φανταστείτε την ασβέστωση ως ένα βραχάκι το οποίο υπάρχει μέσα στον μαλακό τένοντα. Σε ορισμένες περιπτώσεις, όταν η ασβέστωση είναι πολύ εκτεταμένη, μπορεί να προσκρούει, με τις κινήσεις, στο οστό που καλύπτει τον ώμο (το ακρώμιο), εμποδίζοντας τον τένοντα να λειτουργήσει σωστά και προκαλώντας πόνο. Ωστόσο, στις περισσότερες περιπτώσεις η αιτία γένεσης του πόνου δεν είναι η μηχανική πρόσκρουση, αλλά η ενεργοποίηση της φλεγμονής. Αυτό συμβαίνει, όταν η ασβέστωση αρχίζει να αποσυντίθεται και να απορροφάται από τον οργανισμό. Στην περίπτωση αυτή, τα προϊόντα αποδόμησης της ασβέστωσης προκαλούν μια τοπική αντίδραση φλεγμονής στον γύρω τένοντα που προκαλεί έντονο πόνο στον ώμο.

 

Ποιοι ασθενείς πάσχουν συνήθως από ασβεστοποιό τενοντίτιδα ώμου;
Η ασβεστοποιός τενοντίτιδα του ώμου συμβαίνει πιο συχνά σε νέους ασθενείς, μεταξύ 30 και 50 ετών, ενώ σπάνια εμφανίζεται σε ηλικιωμένους ασθενείς, άνω των 70 ετών. Σε ένα ποσοστό 15% των ασθενών μπορεί να εμφανιστεί και στους δύο ώμους. Παράλληλα, στο 90% των περιπτώσεων, η ασβέστωση απορροφάται και εξαφανίζεται από μόνη της, αλλά αυτό, για να συμβεί, μπορεί να πάρει 12 με 18 μήνες. Κατά τη διάρκεια αυτής της περιόδου τα συμπτώματα ποικίλουν ανά περίπτωση.

 

Ασβεστοποιός τενοντίτιδα ώμου λόγω υπερχρήσης του χεριού συμβαίνει συχνότερα σε αθλητές ή επαγγελματίες, χειρώνακτες, που πραγματοποιούν επαναλαμβανόμενες κινήσεις πάνω από το ύψος του ώμου, όπως ζωγράφοι, μαραγκοί, χτίστες, κτλ.

 MALAXIAS OMOS 2

Τι νιώθει ο ασθενής που έχει ασβεστοποιό τενοντίτιδα ώμου;
Τα συμπτώματα της ασβεστοποιού τενοντίτιδας του ώμου ποικίλουν μεταξύ ήπιας δυσκαμψίας στην περιοχή (σαν «πιάσιμο») και σοβαρού πόνου. Σΰχνά, ο/η ασθενής νιώθει πόνο στην άκρη του ώμου (στο πλάι του) που μπορεί να αντανακλά προς τα κάτω, στον βραχίονα. Ο πόνος αυτός ενεργοποιείται όταν σηκώνουμε ή στρίβουμε το χέρι πάνω από το ύψος του ώμου.


Τα ακόλουθα είναι τα πιο συχνά συμπτώματα τενοντίτιδας ώμου:
• Πόνος στον ώμο που υποτροπιάζει σε συγκεκριμένες δραστηριότητες
• Πόνος που χειροτερεύει τη νύχτα: το πιο τυπικό σύμπτωμα
• Πόνος που τον/την εμποδίζει να κοιμάται από την πλευρά του ώμου που πάσχει
• Ήπιο οίδημα στην περιοχή
• Ήχοι κριγμού («κλικ») όταν κινεί το χέρι
• Περιορισμένη δυνατότητα να κινεί το χέρι
• Μυϊκή αδυναμία


Τα συμπτώματα της τενοντίτιδας ώμου συχνά μοιάζουν με συμπτώματα άλλων παθήσεων του ώμου (όπως η ρήξη τένοντα ώμου) ή γενικότερα. Για το λόγο αυτό, συστήνεται να εξετάζεστε από κάποιον ειδικό ορθοπαιδικό για να τεθεί η σωστή διάγνωση της αιτίας του πόνου σας, στον ώμο.

 

Πως γίνεται η διάγνωση ασβεστοποιού τενοντίτιδας ώμου;
Το πιο σημαντικό βήμα είναι η κλινική εξέταση και η λήψη ιστορικού από έναν εξειδικευμένο ιατρό στις παθήσεις του ώμου.
Πέραν τούτου, οι ακόλουθες απεικονιστικές εξετάσεις μπορεί να βοηθήσουν στην διάγνωση της ασβεστοποιού τενοντίτιδας ώμου:
• Ακτινογραφία ώμου: Είναι η πιο απλή, φτηνή και ακριβής εξέταση για τη διάγνωση ασβέστωσης ώμου.
Υπέρηχος ώμου: Στα κατάλληλα χέρια είναι μια εξαιρετική απεικονιστική μέθοδος -χωρίς ακτινοβολία- στη διάγνωση ασβεστοποιού τενοντίτιδας ώμου και στον αποκλεισμό άλλων, σοβαρότερων παθήσεων, όπως η ρήξη τένοντα ώμου (υπερακάνθιου ή άλλου τένοντα). Έχει το μεγάλο πλεονέκτημα της δυναμικής εξέτασης των τενόντων, κατά τη διάρκεια της κίνησης του χεριού και όχι μόνο όταν είναι ακίνητο (όπως η μαγνητική και η ακτινογραφία), γεγονός που βοηθά στη διάγνωση του δυναμικού συνδρόμου πρόσκρουσης (υπακρωμιακής προστριβής) που συχνά αποτελεί το γενεσιουργό αίτιο της τενοντίτιδας ώμου.

 

Ποιος τένοντας του ώμου παθαίνει πιο συχνά αβεστοποιό τενοντίτιδα;
Η ασβεστοποιός τενοντίτιδα ώμου συμβαίνει συχνότερα στον υπερακάνθιο τένοντα και, δευτερευόντως, στον υπακάνθιο ή στον υποπλάτιο τένοντα.

 

Πως θεραπεύεται η ασβεστοποιός τενοντίτιδα ώμου;
Η αντιμετώπιση της ασβεστοποιού τενοντίτιδας ώμου (και της θυλακίτιδας) περιλαμβάνει:
• Ξεκούραση του χεριού, ανάρτηση στην οξεία φάση
• Αντιφλεγμονώδη φάρμακα, στην οξεία φάση
• Ασκήσεις ενδυνάμωσης και διάτασης του στροφικού πετάλου, μετά την οξεία φάση
• Φυσικοθεραπείες
• Τοπική έγχυση κορτικοστεροειδών για περιορισμό της φλεγμονής
• Καθοδηγούμενη - υπό υπέρηχο – τεχνική αναρρόφησης διπλής βελόνης (double needle barbotage) για αποδιοργάνωση και αναρρόφηση της ασβέστωσης
• Αρθροσκοπική επέμβαση (με χρήση μίνι κάμερας): σε εμμένουσα ασβεστοποιό τενοντίτιδα ώμου που δεν ανταποκρίνεται σε συντηρητική θεραπεία ή σε θεραπεία καθοδηγούμενης αναρρόφησης ασβέστωσης για εύλογο χρονικό διάστημα (τουλάχιστον 1 μήνα)

 

Μπορεί να θεραπευθεί από μόνη της η ασβεστοποιός τενοντίτιδα ώμου;
Εάν ο τένοντας που φλεγμαίνει δεν έχει υποστεί ρήξη, μπορεί να υπάρξει βελτίωση των συμπτωμάτων (υποχώρηση του πόνου), με κατάλληλες φυσικοθεραπείες και ασκήσεις ενδυνάμωσης των μυών του ώμου.


Η πλειοψηφία των ασθενών με ασβεστοποιό τενοντίτιδα ώμου βελτιώνονται με μη-επεμβατικές θεραπείες, όπως η ανάρτηση του χεριού και η προστασία του, σε συνδυασμό με αναλγητικά/αντιφλεγμονώδη φάρμακα, τοπικές εγχύσεις κορτικοστεροειδών, αναρρόφηση διπλής βελόνης (double needle barbotage) - υπό υπερηχογραφική καθοδήγηση, φυσικοθεραπείες και βελονισμό.

 

Θεραπεύει η ένεση κορτιζόνης την ασβεστοποιό τενοντίτιδα του ώμου;
Η κορτιζόνη έχει πολύ ισχυρή αντιφλεγμονώδη δράση. Αν εγχυθεί ακριβώς στο σημείο της φλεγμονής του τένοντα, πέριξ της ασβέστωσης, όπως και στον γειτονικό φλεγμαίνοντα θύλακο που επικαλύπτει τον τένοντα, μπορεί να καταστείλει (αλλά όχι να θεραπεύσει) τα συμπτώματα της νόσου (τον πόνο). Η τοπική έγχυση κορτιζόνης, υπό καθοδήγηση υπερήχου, προς το σημείο-στόχο του τένοντα που πάσχει, είναι μια ικανοποιητική μέθοδος αντιμετώπισης των οξέων συμπτωμάτων της ασβεστοποιού τενοντίτιδας του ώμου, την οποία εφαρμόζει συχνά στα ιατρεία του (τηλ: 6936503290), στο Χαλάνδρι, την Πάτμο και την Ικαρία, ο Επίκ. Καθηγητής Ορθοπαιδικής, κος Μαλαχιάς.

 

Πόσες ενέσεις κορτιζόνης μπορούν να γίνουν για τη αντιμετώπιση της ασβεστοποιού τενοντίτιδας ώμου;

Μπορούν να γίνουν μέχρι 3 ενέσεις ανά εξάμηνο, με χρονική απόσταση 10-15 ημερών μεταξύ τους.

 

Τι είναι η τεχνική αναρρόφησης διπλής βελόνης (double needle barbotage) υπό καθοδήγηση υπερήχου;
Είναι μια ελάχιστα-επεμβατική τεχνική οριστικής θεραπείας της εμμένουσας ασβεστοποιού τενοντίτιδας ώμου, την οποία έχει αναπτύξει ο Επίκουρος Καθηγητής, Δρ. Μαλαχιάς. Τα κλινικά αποτελέσματα της τεχνικής αυτής είναι πολύ ικανοποιητικά, όπως έδειξε κλινική μελέτη του Δρ. Μαλαχιά, η οποία δημοσιεύθηκε το 2020, στο διεθνές περιοδικό Journal of Orthopaedics (https://www.ncbi.nlm.nih.gov/pmc/articles/PMC7067993/). Η τεχνική αναρρόφησης διπλής βελόνης είναι ανώδυνη και πραγματοποιείται στο ιατρείο, αφού προηγηθεί μια απλή ένεση τοπικής αναισθησίας στον ώμο. Εν συνεχεία, υπό άσηπτες συνθήκες και υπό συνεχή καθοδήγηση υπερήχου, στην οθόνη του οποίου καταγράφουμε τη θέση της ασβέστωσης, του τένοντα και του θυλάκου, εισάγουμε 2 βελόνες εντός της ασβέστωσης. Οι βελόνες αυτές είναι επίσης ορατές στην οθόνη του υπερήχου. Με αυτόν τον τρόπο επιβεβαιώνουμε ότι οι βελόνες στόχευσαν ορθώς και εισήχθησαν ακριβώς εκεί που επιθυμούμε, δηλαδή στο κέντρο της ασβέστωσης. Μέσα από τις βελόνες αυτές χορηγούμε φυσιολογικό ορό, ξεπλένοντας και μαλακώνοντας την ασβέστωση. Κατόπιν, αναρροφούμε την μαλακωμένη ασβέστωση με μια σήραγγα, τραβώντας την εναλλάξ από κάθε βελόνα. Αυτό το κάνουμε μέχρι να αποδιοργανωθεί η ασβέστωση στην οθόνη του υπερήχου και να δούμε τα λευκά ίχνη (κόκκινο βέλος στη φώτο) της αναρροφηθείσας ασβέστωσης μέσα στην σύριγγα.

MALAXIAS ARTHRO 3

Θεραπεύει η τεχνική αναρρόφησης διπλής βελόνης, υπό καθοδήγηση υπερήχου, την ασβεστοποιό τενοντίτιδα;
Ναι! Στις περισσότερες περιπτώσεις, η τεχνική αναρρόφησης διπλής βελόνης (double needle barbotage) - υπό καθοδήγηση υπερήχου – αποδιοργανώνει την ασβέστωση, σε βαθμό τέτοιο που, εν συνεχεία, κινητοποιείται ο ίδιος ο οργανισμός μας και και «τρώει» το υπόλοιπο της ασβέστωσης, εξαφανίζοντάς την.

 

Πως θεραπεύεται η ασβεστοποιός τενοντίτιδα του ώμου που δεν ανταποκρίνεται σε τεχνικές έγχυσεις και άλλες συντηρητικές θεραπείες;
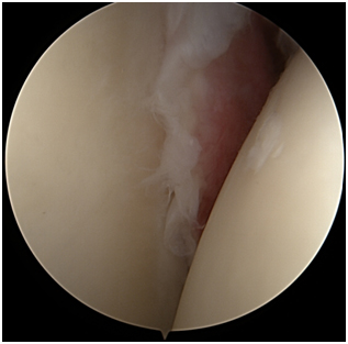
Η αρχική αντιμετώπιση της ασβεστοποιού τενοντίτιδας είναι συντηρητική και περιλαμβάνει μέτρα, όπως ξεκούραση, τροποποίηση δραστηριοτήτων, αντιφλεγμονώδη φάρμακα, φυσικοθεραπείες, ενδυνάμωση, τοπικές εγχύσεις κορτιζόνης, και την τεχνική αναρρόφησης διπλής βελόνης – υπό καθοδήγηση υπερήχου. Αν ο/η ασθενής δεν ανταποκριθεί στα συντηρητικά μέσα, θέση παίρνει η επεμβατική θεραπεία της ασβεστοποιού τενοντίτιδας. Η τελευταία είναι η μόνη θεραπεία που αντιμετωπίζει ριζικά το αίτιο της ασβεστοποιού τενοντίτιδας. Αυτό γίνεται καθώς εξαλείφει τελεσίδικα τον αιτιολογικό παράγοντα πρόκλησης της φλεγμονής, που δεν είναι άλλος από την ασβέστωση (βλέπε διεγχειρητική φώτο ασβέστωσης).

MALAXIAS ARTHRO 4

Πως γίνεται η επέμβαση για τη θεραπεία της εμμένουσας ασβεστοποιού τενοντίτιδας του ώμου;
Η χειρουργική θεραπεία χρόνιου ασβεστοποιού τενοντίτιδας ώμου γίνεται ελάχιστα-επεμβατικά, με τη χρήση μιας ειδικής κάμερας και λεπτών εργαλείων που προωθούνται μέσα από πολύ μικρές τομές που ανοίγει ο χειρουργός στο δέρμα του/της ασθενούς. Η επέμβαση αυτή καλείται αρθροσκόπηση ώμου.

 

Τι είναι η αρθροσκόπηση ώμου;

 

MALAXIAS ARTHRO 5

Η αρθροσκόπηση ώμου είναι μια ελάχιστα-επεμβατική τεχνική στην οποία ο εξειδικευμένος Ορθοπαιδικός Χειρουργός χρησιμοποιεί ένα αρθροσκόπιο (ειδική μίνι κάμερα) για να εξετάσει το εσωτερικό της άρθρωσης του ώμου. Ορισμένες παθήσεις του ώμου μπορούν να θεραπευτούν αρθροσκοπικά. Σε αυτές τις περιπτώσεις, για να πραγματοποιήσει την επέμβαση, ο χειρουργός κάνει μικρές τομές (σαν κλειδαρότρυπες) για να δημιουργήσει τα σημεία πρόσβασης από τα οποία θα εισάγει στην άρθρωση του ώμου, τα λεπτά χειρουργικά εργαλεία και την κάμερα.

 

Ποια είναι τα πλεονεκτήματα της αρθροσκόπησης ώμου;
Η αρθροσκόπηση ώμου έχει πολλαπλά πλεονεκτήματα σε σύγκριση με το παραδοσιακό ανοικτό χειρουργείο ώμου, επειδή:
● προξενεί πολύ μικρό τραύμα στην άρθρωση (το οποίο, με τη σειρά του, ελαχιστοποιεί τον πόνο και την δημιουργία ουλής στον ώμο)
● γίνεται, συνήθως, με ημερήσια νοσηλεία (οι ασθενείς, συνήθως, επιστρέφουν σπίτι την ίδια μέρα)
● τυπικά, απαιτεί μικρή περίοδο ανάρρωσης και ταχύτερη έναρξη φυσικής αποκατάστασης
● μπορεί να καθυστερήσει ή να εξαφανίσει την ανάγκη για αρθροπλαστική ώμου (ανοικτή επέμβαση αντικατάστασης των αρθρικών επιφανειών) θεραπεύοντας προ-αρθριτικές καταστάσεις που προξενούν, σε βάθος χρόνου, οστεοαρθρίτιδα του ώμου.

 

Πως πραγματοποιείται η αρθροσκόπηση ώμου για τη θεραπεία εμμένουσας ασβεστοποιού τενοντίτιδας του ώμου;
Στην περίπτωση της εμμένουσας ασβεστοποιού τενοντίτιδας του ώμου, ο στόχος της αρθροσκοπικής επεμβατικής θεραπείας είναι να εξαλειφθεί το γενεσιουργό αίτιο του πόνου (ο βράχος μέσα στον τένοντα), αλλά και να καθαριστεί η φλεγμονή του θυλάκου και του τένοντα. Η αρθροσκοπική τεχνική θεραπείας της εμμένουσας ασβεστοποιού τενοντίτιδας του ώμου περιλαμβάνει την έκπλυση και πλήρη αφαίρεση της ασβέστωσης από το εσωτερικό του τένοντα. Στην περίπτωση μεγάλης ασβέστωσης, το κενό που μένει εντός του τένοντα μετά την αφαίρεση της ασβέστωσης (του βράχου), συγκλείεται με ένα ειδικό αρθροσκοπικό ράμμα (μινι ράμμα).
Πέραν τούτου, επιπρόσθετες χειρουργικές πράξεις που συχνά πραγματοποιούνται στα πλαίσια της εν λόγω επέμβασης, με τη χρήση κάμερας, είναι 1) ο καθαρισμός του υπακρωμιακού θυλάκου (θυλακεκτομή) που καλύπτει τους τένοντες του στροφικού πετάλου και, συχνά, φλεγμαίνει, 2) ο καθαρισμός της φλεγμονής των τενόντων του στροφικού πετάλου με ειδικό αρθροσκοπικό εργαλείο (shaver) που νεαροποιεί τον εκφυλισμένο τενόντιο ιστό, 3) η πραγματοποίηση τενοντοτομής (ή τενονοντόδεσης) της μακράς κεφαλής του δικέφαλου βραχιονίου και, 4) ακρωμιοπλαστική.

 MALAXIAS ARTHRO 7

Πόσο διαρκεί μια επέμβαση αρθροσκόπησης ώμου για τη θεραπεία εμμένουσας ασβεστοποιού τενοντίτιδας του ώμου;
Η διάρκεια εξαρτάται από τα ευρήματα και τον τύπο της θεραπείας που επιλέγεται και, συνήθως, κυμαίνεται μεταξύ μίας και μιάμιση ώρας.

 

Είναι ασφαλής η αρθροσκόπηση ώμου για τη θεραπεία εμμένουσας ασβεστοποιού τενοντίτιδας του ώμου;
Πρόκειται για μια πολύ ασφαλή, ελάχιστα-επεμβατική τεχνική, με ένα υπαρκτό, αλλά πάρα πολύ χαμηλό ποσοστό επιπλοκών.

 

Πόσο επιτυχής είναι η αρθροσκόπηση ώμου για τη θεραπεία εμμένουσας ασβεστοποιού τενοντίτιδας του ώμου;
Τα αποτελέσματα της αρθροσκοπικής θεραπείας εμμένουσας ασβεστοποιού τενοντίτιδας του ώμου είναι εξαιρετικά, με πολύ χαμηλά ποσοστά υποτροπής. Ο πόνος υποχωρεί, ήδη, λίγες ώρες μετά το χειρουργείο. Ο/η ασθενής κρατά το χειρουργημένο άκρο σε ειδική ανάρτηση με μαξιλάρι απαγωγής για λίγες ημέρες και μετά το αφήνει ελεύθερο και αρχίζει τη φυσική αποκατάσταση για να αποκτήσει ελεγχόμενα και ανώδυνα, με τη βοήθεια εξειδικευμένου φυσικοθεραπευτή, το εύρος κίνησης και, εν συνεχεία, τη λειτουργικότητα που έχει ένας φυσιολογικός ώμος.

 

Τι αναισθησία λαμβάνει ο/η ασθενής που υποβάλλεται σε αρθροσκόπηση ώμου για τη θεραπεία εμμένουσας ασβεστοποιού τενοντίτιδας του ώμου;

Στη συγκεκριμένη περίπτωση επέμβασης μπορεί να επιλεγεί είτε η γενική είτε η περιοχική αναισθησία, ανάλογα με τη γενική κατάσταση και την επιθυμία του/της ασθενούς. Εφόσον μιλάμε για αρθροσκόπηση ώμου προς αντιμετώπιση μικρής ασβέστωσης που δε χρήζει συρραφής, μπορεί να επιλεγεί περιοχική αναισθησία (σκαληνό νευρικό block), με τη δυνατότητα ο/η ασθενής να είναι ξύπνιος/α και να παρακολουθεί live την επέμβαση από ειδική οθόνη στο χειρουργείο. Σε μεγαλύτερες ασβεστώσεις απαιτείται γενική αναισθησία.

 

Πόσο χρόνο πρέπει να παραμείνει στο νοσοκομείο ασθενής που υποβάλλεται σε αρθροσκόπηση ώμου για θεραπεία εμμένουσας ασβεστοποιού τενοντίτιδας του ώμου;
Δεν απαιτείται διανυκτέρευση στο νοσοκομείο. Ο/η ασθενής μπορεί να φύγει την ίδια ημέρα του χειρουργείου (λίγες ώρες μετά), καθώς πρόκειται για μια ατραυματική, ελάχιστα-επεμβατική τεχνική.

 

Ποια είναι η αποκατάσταση ασθενούς που υποβάλλεται σε αρθροσκόπηση ώμου για θεραπεία εμμένουσας ασβεστοποιού τενοντίτιδας του ώμου;
Ο ρόλος της φυσικής αποκατάστασης είναι κεφαλαιώδης, μετά από χειρουργείο αρθροσκόπησης ώμου. Αν δεν ακολουθηθεί ορθή, εξατομικευμένη φυσική αποκατάσταση, με βάση τις ανάγκες του εκάστοτε ξεχωριστού ασθενούς, από εξειδικευμένους φυσικοθεραπευτές, για ικανό χρονικό διάστημα και στη σωστή συχνότητα (ανάλογη με το στάδιο της αποκατάστασης), τα τελικά αποτελέσματα του χειρουργείου δε θα είναι ικανοποιητικά. Εμπειρικά, όσον αφορά την αρθροσκόπηση ώμου, συνηθίζουμε να λέμε πως το 50% της επιτυχίας είναι το χειρουργείο και το 50% η φυσική αποκατάσταση!


Η έναρξη φυσικοθεραπειών με παθητική κινητοποίηση του ώμου ξεκινά άμεσα, μετά από λίγες μέρες. Από την παθητική κινητοποίηση, ο/η ασθενής θα περάσει σταδιακά στην υποβοηθούμενη κινητοποίηση, μέχρι να φτάσει στην ενεργητική κινητοποίηση στο πλήρες εύρος της κίνησης του ώμου. Τα στάδια αυτά είναι εξατομικευμένα, ανάλογα με το προφίλ και την προεγχειρητική λειτουργικότητα του/της ασθενούς.

 

Πότε αφαιρούνται τα ράμματα σε ασθενή που υποβλήθηκε σε αρθροσκόπηση ώμου για θεραπεία εμμένουσας ασβεστοποιού τενοντίτιδας του ώμου;
Στην εν λόγω επέμβαση τοποθετούνται 1-2 απορροφήσιμα ράμματα σε κάθε μία από τις τρεις μίνι δερματικές τομές, μεγέθους κλειδαρότρυπας. Τα ράμματα αυτά πέφτουν μόνα τους μετά από 15 ημέρες. Ως εκ τούτου, ο/η ασθενής δε χρειάζεται να επισκεφθεί κάποιο γιατρό για να κόψει τα ράμματά του.

 

Υπάρχουν επιπλοκές σχετιζόμενες με επέμβαση αρθροσκόπησης ώμου για θεραπεία εμμένουσας ασβεστοποιού τενοντίτιδας του ώμου;
Όπως κάθε είδους επέμβαση στον ανθρώπινο οργανισμό, έτσι και η αρθροσκόπηση ώμου μπορεί, σπάνια, να εμφανίσει κάποιες επιπλοκές. Θα πρέπει να τονιστεί, ωστόσο, πως το ποσοστό επιπλοκών της συγκεκριμένης επέμβασης είναι πράγματι πάρα πολύ μικρό, μιας και πρόκειται για μια ατραυματική ελάχιστα-επεμβατική θεραπεία που γίνεται με χρήση mini αρθροσκοπικής κάμερας.

 

Ποιο είναι το κόστος της επέμβασης αρθροσκόπησης ώμου για θεραπεία εμμένουσας ασβεστοποιού τενοντίτιδας του ώμου;
Το κόστος της ελάχιστα-επεμβατικής αρθροσκόπησης ώμου για τη θεραπεία εμμένουσας ασβεστοποιού τενοντίτιδας του ώμου είναι προσιτό για τον μέσο Έλληνα ασθενή και ποικίλει ανάλογα με την ασφάλεια του ασθενούς και την κλινική που πραγματοποιείται η επέμβαση. Η/ο ασθενής θα πρέπει να γνωρίζει ότι το συνολικό κόστος περιλαμβάνει το κόστος νοσηλείας (το οποίο καλύπτεται πλήρως από τον ΕΟΠΥΥ), το κόστος των υλικών (αναλώσιμων, σχετιζόμενων με το χειρουργείο), που παραγγέλνονται από εταιρεία του εξωτερικού, και η αμοιβή του ιατρικού τιμ, δηλαδή του αναισθησιολόγου, του ιατρού που βοηθά στην επέμβαση, και του εξειδικευμένου ορθοπαιδικού χειρουργού.

 

Ο Επίκoυρος Καθηγητής Ορθοπαιδικής της Ιατρ. Σχολής EUC Φρανκφούρτης, κος Μαλαχιάς, είναι ένας ειδικός ορθοπαιδικός χειρουργός με έδρα την Αθήνα, που έχει λάβει clinical fellow-εξειδίκευση στην Ελβετία (Clinica Ars Medica, Lugano), όσον αφορά τις ελάχιστα-επεμβατικές τεχνικές αρθροσκόπησης ώμου. Συγκεκριμένα, έχει ως μέντορα τον διάσημο αρθροσκόπο ώμου, Καθηγητή Δρ. Ettore Taverna, τέως πρόεδρο της Ευρωπαϊκής Εταιρείας Χειρουργικής Ώμου (ESA-ESSKA).

Κατά τη διάρκεια της θητείας του στην Ελβετία, ως clinical fellow, έχει πραγματοποιήσει και συμμετάσχει σε άνω των 650 επεμβάσεων αρθροσκόπησης ώμου.

 

ΜΑΘΕΤΕ ΠΕΡΙΣΣΟΤΕΡΑ ΓΙΑ ΤΗΝ ΘΕΡΑΠΕΙΑ ΤΗΣ ΑΣΒΕΣΤΟΠΟΙΟΥ ΤΕΝΟΝΤΙΤΙΔΑΣ ΩΜΟΥ

Καλέστε 6936503290, για να κλείσετε ένα ραντεβού με τον Επίκ. Καθηγητή Ορθοπαιδικής, Δρ. Μιχαήλ-Αλέξανδρο Μαλαχιά, κατά την επίσκεψή του στην Πάτμο, το Σάββατο 30 Νοέμβρη ή την Κυριακή 1 Δεκέμβρη.
website: www.malahias.gr